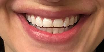
Porcelain Veneers

Procedure performed:  Teeth whitening and porcelain veneers.

Before

Whitening and Two Veneers before

After

Whitening and Two Veneers after