Composite Bonding

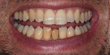
Procedure performed: Teeth Whitening and Composite Bonding

Before

Whitening And composite bonding before

After

Whitening And composite bonding after