Skip to content
BODC Membership Plan now available -
click here for more info
Home
About
Meet the Doctors
Meet the Team
Meet Our Founder
For Patients
Membership Plan and Financing
Special Offers
Testimonials
Smile Gallery
Patient Education
Patient Profiles
Services
General Dentistry
Cosmetic Dentistry
Dental Implants
Candid Pro Aligners
View All Services
Contact
(718) 369-2300
CALL US TODAY!
CALL US TODAY! (718) 369-2300
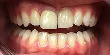
Porcelain Crown
Porcelain Crown
Restorative Dentistry
Before
After
Previous
Next
Page load link
Go to Top