Invisalign

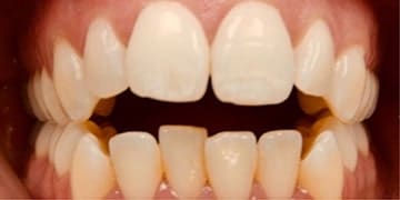
Procedure performed:  Invisalign with composite bonding.

Before

Invisalign and Bondings before

After

Invisalign and Bondings before